CBCT Dental Scan in Brooklyn, NY

Our office utilizes the latest technology and equipment to provide better, more precise care. CBCT or 3D CT dental scans are now the standard of care for dental implant planning and surgery, wisdom teeth extractions, and root canal therapy.

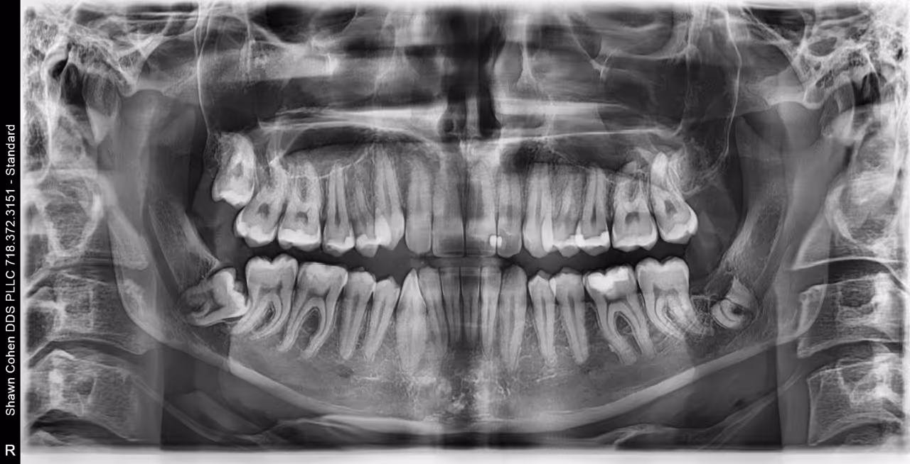
What Is a 3D Dental CT Scan (CBCT)?
A 3D CT dental scan, also known as Cone Beam Computed Tomography (CBCT), is an advanced, low-radiation imaging technology that creates detailed, 3D digital models of teeth, jawbones, nerve pathways, and soft tissues in seconds. It provides superior accuracy over traditional 2D X-rays for planning implants, oral surgery, and diagnosing complex dental issues.
Although it is not meant solely to detect or diagnose dental caries (cavities), it is used as an adjunct to conventional dental radiographs or 2D X-rays for a more comprehensive evaluation. When necessary, it is an invaluable piece of technology that is safe for patients of all ages based on clinical need.

Key Uses and Benefits
CBCT is primarily used for complex dental situations where standard X-rays do not provide enough information.
- Dental Implant Planning: It is considered the gold standard for measuring bone density and volume to ensure safe and accurate implant placement. Learn more about our approach to dental implants.
- Surgical Extractions: Specifically for impacted wisdom teeth, it helps locate nearby sensory nerves to minimize the risk of injury. Explore related wisdom teeth extractions.
- Endodontics (Root Canals): Used to identify unusual tooth anatomy, hidden infections, or fractures that are invisible on traditional films. See how this supports root canal therapy.
- Pathology Detection: It can reveal cysts, tumors, or abscesses in the jawbone, sinuses, or nasal cavity, supporting early and accurate diagnosis as part of our comprehensive oral surgery services.

What to Expect During the Procedure
The scanning process is quick, non-invasive, and completely painless.
- Positioning: You will stand in the machine and rest your chin on a stable platform.
- Scan Time: The machine rotates 360 degrees around your head. The actual exposure usually lasts between 10 and 40 seconds.
This advanced imaging allows Dr. Shawn Cohen to plan treatments with precision. Learn more about his experience and approach on the Meet Dr. Cohen page.

How CBCT Differs from Traditional CT Scans
Traditional CT scans are better suited for imaging soft tissues such as muscles and organs. CBCT, on the other hand, is specifically designed for dentistry and provides highly detailed images of the jawbone, teeth, nerves, and surrounding structures.
Conventional CT is typically preferred for complex tumor evaluations or imaging soft tissues of the neck and head, while CBCT is the preferred choice for dental diagnostics and treatment planning.
Frequently Asked Questions About CBCT Dental Scans
What is a CBCT dental scan used for?
A CBCT scan is used to create detailed 3D images of your teeth and jaw, helping dentists plan procedures like implants, extractions, and root canals with greater accuracy.
Is a CBCT scan safe?
Yes, CBCT uses low levels of radiation and is considered safe when used appropriately based on your dental needs.
How long does a CBCT scan take?
The scan itself typically takes between 10 and 40 seconds, making it a quick and efficient diagnostic tool.
Do I need a CBCT scan for dental implants?
In most cases, yes. CBCT is considered the standard of care for implant planning because it provides precise measurements of bone and nerve location.
Is the CBCT scan procedure painful?
No, the procedure is completely painless and non-invasive.
Lorem ipsum dolor sit amet, consectetur adipiscing elit, sed do eiusmod tempor incididunt ut labore et dolore magna aliqua. Ut enim ad minim veniam, quis nostrud exercitation ullamco laboris nisi ut aliquip ex ea commodo consequat. Duis aute irure dolor in reprehenderit in voluptate velit esse cillum dolore eu fugiat nulla pariatur.
Schedule Your CBCT Dental Scan in Brooklyn
Advanced imaging is the foundation of accurate diagnosis and successful treatment. If you need a CBCT dental scan in Brooklyn, Dr. Shawn Cohen provides precise, patient-focused care using state-of-the-art technology.


